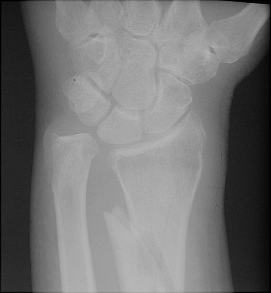
Return to Barton Fracture