Pathologic Fracture (Femur)

Return to Main Menu

Pathologic fractures result from an underlying abnormality of the bone, usually either a primary bone lesion such as a tumor, or metastatic disease. However, pathologic fractures may result from metabolic conditions as well. A fracture results when normal stress is placed onto abnormal bone.
 - Click on the image for a larger versionAScanogram. This patient with renal cell carcinoma shows a comminuted fracture of the proximal right femoral shaft.
 - Click on the image for a larger versionBAxial CT. This image through the fracture demonstrates a large soft tissue mass with extensive bony destruction.
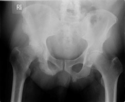
 - Click on the image for a larger versionCAP radiograph of the pelvis. This is a different patient with prostate cancer. There are multiple sclerotic metastases.
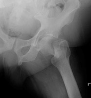
 - Click on the image for a larger versionDAP radiograph of the left hip. Two years later, the patient presents with hip pain and a femoral neck fracture (basicervical).
 - Click on the image for a larger versionEAxial CT. This image clearly demonstrates the pathologic fracture through the left femoral neck at the location of a sclerotic bone metastasis.
 - Click on the image for a larger versionFBone scan. This shows numerous areas of increased tracer uptake. The left femoral fracture is seen as are metastases in the pelvis seen on the original pelvis radiograph. Spine, rib, and skull metastases are present.

Links to online textbooks

References:


Google
 
Web Gentili.net

©Gentili.net 1998-2006