Torus Fracture

Return to Main Menu

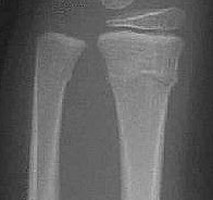
Also known as a buckle fracture. This is a compression fracture of a long bone, typically in children. This type of fracture usually occurs near the metaphysis. Both cortical margins are affected, but a discreet fracture line or trabecular disruption is not present. Minimal buckling of the cortex is present.
 - Click on the image for a larger versionAAP radiograph of the forearm. The typical appearance of a torus fracture with buckling of the cortical surface.

Links to online textbooks

References:


Google
 
Web Gentili.net

©Gentili.net 1998-2006