Duverney Fracture

Return to Main Menu

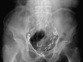
Duverney fractures are stable pelvic injuries. The fracture consists of an isolated fracture of one iliac wing. The pelvic ring remains intact although the patient is at risk for hemorrhage from the internal iliac arterial system. These fractures are caused by vertically directed forces.
 - Click on the image for a larger versionAAP radiograph of the pelvis. This shows a comminuted fracture of the right superior iliac wing.
 - Click on the image for a larger versionBAP radiograph of the right hip. The fracture lines are better seen. This patient fell.

Links to online textbooks

References:


Google
 
Web Gentili.net

©Gentili.net 1998-2006