Hamate Fracture

Return to Main Menu

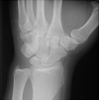
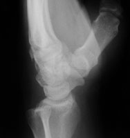
Fractures of the hamate are rare and mostly occur with in association with other injuries, often with dorsal dislocation of the fourth and fifth metacarpals or a triquetral fracture. A fracture of the base of the hamate hook is rare and requires special views.
 - Click on the image for a larger versionALateral radiograph of the wrist. This shows a bony fragment at the carpometacarpal region.
 - Click on the image for a larger versionBOblique radiograph of the wrist. This shows a fracture of the body of the hamate.

Links to online textbooks

References:


Google
 
Web Gentili.net

©Gentili.net 1998-2006