Gamekeeper's Thumb

Return to Main Menu

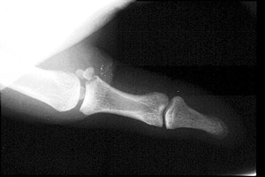
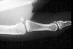
This condition results when there is partial or total disruption of the ulnar collateral ligament at the metacarpophalangeal joint of the thumb. It is also often associated with a fracture at the base of the proximal phalanx. This is also called a skier's thumb or ski pole fracture. The original condition was described in those gamekeepers who used their hands to kill rabbits. Special stress views may be required to see this dislocation , if clinically suspected.
 - Click on the image for a larger versionAAP radiograph of the first digit. This shows a fracture at the base of the proximal phalanx. It is intraarticular.
 - Click on the image for a larger versionBLateral radiograph of the first digit. This patient demonstrates the findings of gamekeeper's thumb with mild subluxation at the MCP joint.

Links to online textbooks

References:


Google
 
Web Gentili.net

©Gentili.net 1998-2006