Galeazzi's Fracture

Return to Main Menu

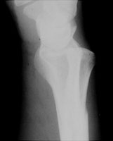
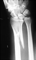
Also called a reverse Monteggia fracture, Galeazzi's fracture consists of a fracture of the radius at the junction of the middle and distal thirds with distal radioulnar joint dislocation. This fracture pattern may be caused by a fall on an outstretched hand or from a direct trauma to the dorsal aspect of the wrist.
 - Click on the image for a larger versionALateral radiograph of the wrist. This shows radioulnar dislocation.
 - Click on the image for a larger versionBAP radiograph of the wrist. There is a comminuted fracture of the radius with radioulnar joint dislocation.

Links to online textbooks

References:


Google
 
Web Gentili.net

©Gentili.net 1998-2006