Chauffeur (Backfire)

Return to Main Menu

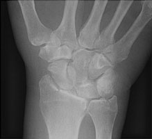
The chauffeur fracture is also called a lorrie or Hutchinson fracture. This fracture results from a direct injury to the thenar side of the wrist, resulting in intraarticular fracture at the base of the radial styloid. This type of fracture resulted from a backfire when a crank was used to start a motor in automobiles.
 - Click on the image for a larger versionAPA radiograph of the wrist. There is an intraarticular fracture of the radial styloid.
 - Click on the image for a larger versionBLateral radiograph of the wrist. This shows the radial styloid fracture.
 - Click on the image for a larger versionCPA radiograph of the wrist with scaphoid deviation. This also demonstrates the intraarticular involvement of this fracture.

Links to online textbooks

References:


Google
 
Web Gentili.net

©Gentili.net 1998-2006