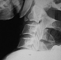
Extension Teardrop Fracture

Return to Main Menu

A stable injury, this fracture results from severe hyperextension and results in avulsion of the anterior inferior corner of a vertebral body, typically C2. The teardrop fragment is avulsed and is attached to the anterior longitudinal ligament.
 - Click on the image for a larger versionALateral radiograph of the cervical spine. This fracture from the anterior inferior corner of C2 resulted from severe hyperextension.

Links to online textbooks

References:


Google
 
Web Gentili.net

©Gentili.net 1998-2006