Femoral Shaft Fracture

Return to Main Menu

Much force is required to produce fractures of the shaft of the femur. They tend to be displaced due to muscle action upon the fracture fragments. The superficial femoral artery may be injured with complex fractures of the distal femur.
 - Click on the image for a larger versionAAP radiograph of the distal femur. This demonstrates a comminuted, overriding fracture of the distal femur. There is profound osteopenia.
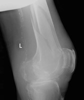
 - Click on the image for a larger versionBLateral radiograph of the distal femur.
 - Click on the image for a larger versionCAxial CT. The distal femur demonstrates the severely thinned cortex along with the fracture.
 - Click on the image for a larger versionDAxial CT. This image shows the comminution of this distal femur fracture.

Links to online textbooks

References:


Google
 
Web Gentili.net

©Gentili.net 1998-2006