Dens Fracture

Return to Main Menu

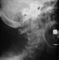
Dens fractures are classified according to the scheme of Anderson and D'Alonzo. They are the result of severe forces including rotation across the cervical spine. Type I is an avulsion fracture arising from the tip of the dens at the site of the alar ligaments. Type II (high) is a fracture at the base without extension to the body of C2. Type III (low) is a fracture through the body of C2, not actually involving the dens. Os odontoideum (either congenital or post-traumatic) is a type I fracture, and may be unstable.
 - Click on the image for a larger versionAReformatted CT. This shows a fracture at the base of the odontoid, a type II injury.
 - Click on the image for a larger versionBAxial CT. This shows a fracture of the base of the odontoid (Type II).
 - Click on the image for a larger versionCAxial CT. The fracture at the base of the dens is visible.
 - Click on the image for a larger versionDLateral radiograph of the cervical spine. This demonstrates posterior translation of C1.

Links to online textbooks

References:


Google
 
Web Gentili.net

©Gentili.net 1998-2006