Coronoid Process Fracture

Return to Main Menu

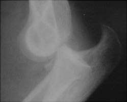
Coronoid process fractures are associated with posterior elbow dislocations. Generally an isolated coronoid process fracture is rare; most will have associated radial fractures. Recent authors have proposed the use of the radial head-capitellum view for the diagnosis of this injury.
 - Click on the image for a larger versionALateral radiograph of the elbow. There is a posterior dislocation of the elbow with a fracture of the coronoid process.

Links to online textbooks

References:


Google
 
Web Gentili.net

©Gentili.net 1998-2006