Spondylolysis

Return to Main Menu

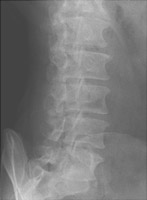
Spondylolysis refers to failure of fusion of the pars interarticularis, most often at the lower lumbar spine. This is usually a congenital defect, although it may occasionally be post-traumatic. The process may affect one or both sides of the spine. Oblique radiographs are best for the detection of this abnormality.
 - Click on the image for a larger versionAOblique radiograph of the lumbar spine. This shows a pars defect.
 - Click on the image for a larger versionBOpposite oblique radiograph of the lumbar spine. This shows another pars defect at L5-S1.
 - Click on the image for a larger versionCConed radiograph of the L5-S1 region. The abnormalities are difficult to appreciate.
 - Click on the image for a larger versionDAxial CT. This image confirms bilateral pars defects at L5-S1.

Links to online textbooks

References:


Google
 
Web Gentili.net

©Gentili.net 1998-2006