Coracoid Fracture

Return to Main Menu

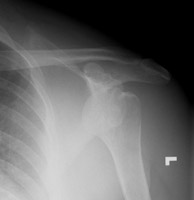
Coracoid process fractures are rare. They are often overlooked on frontal radiographs of the shoulder because they are frequently nondisplaced and difficult to visualize. The axillary radiograph is best for their detection. These fractures are usually associated with direct trauma and are associated with other fractures in the shoulder.
 - Click on the image for a larger versionAAP radiograph of the left shoulder. In addition to the anterior dislocation of the humerus, there is irregularity of the coracoid process.
 - Click on the image for a larger versionBAxillary radiograph of the left shoulder. This demonstrates the anterior dislocation as well as better depicts the coracoid fracture.
 - Click on the image for a larger versionCGrashey radiograph of the left shoulder. This shows the fractured portion of the coracoid process as well as the anterior dislocation of the humeral head.

Links to online textbooks

References:


Google
 
Web Gentili.net

©Gentili.net 1998-2006