Mandible Fracture

Return to Main Menu

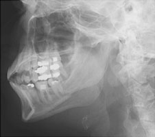
Mandible fractures are due to direct trauma. Most are comminuted and typically involve both sides of the mandible. Anatomic studies have predicted weak areas including the angles as well as the mental and incisive foramen. In fact, these are the most common locations of mandibular fractures.
 - Click on the image for a larger versionALateral radiograph of the mandible. Multiple fractures are seen.
 - Click on the image for a larger versionBLateral radiograph of the mandible. This is from the opposite side and redemonstrates the multiple fractures.
 - Click on the image for a larger versionCAP radiograph of the mandible. This demonstrates bilateral fractures of the mandible.

Links to online textbooks

References:


Google
 
Web Gentili.net

©Gentili.net 1998-2006