Triquetral Fracture

Return to Main Menu

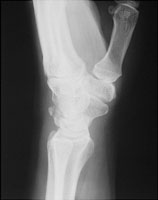
Triquetral fractures are usually best seen on the lateral radiograph of the wrist. Most of these fractures are dorsal avulsion fractures at the attachment of the radiocarpal ligament. The mechanism of injury is forced hyperflexion.
 - Click on the image for a larger versionALateral radiograph of the hand. This shows a small bone fragment located dorsally. This a fractured triquetrum.

References:


Google
 
Web Gentili.net

©Gentili.net 1998-2006