Boxer's Fracture

Return to Main Menu

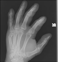
So named because of the common occurrence in prizefighters, the fracture involves the distal metacarpal neck, usually of digit five. The distal fracture fragment is volarly angulated and may be externally rotated. The injury results from direct trauma to the hand.
 - Click on the image for a larger versionAPA radiograph of the hand. This is the typical appearance of a boxer's fracture with volar angulation of the distal fracture fragment.
 - Click on the image for a larger versionBOblique radiograph of the hand. This confirms the volar displacement of the distal fracture fragment.

Links to online textbooks

References:


Google
 
Web Gentili.net

©Gentili.net 1998-2006