Straddle Injury

Return to Main Menu

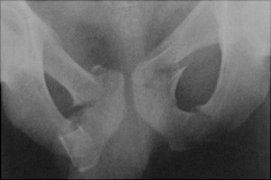
Bilateral superior and inferior rami fractures are known as a straddle injury. This was originally described in horseback riders and is the result of direct trauma. Urethral injury is a known complication.
 - Click on the image for a larger versionAAP radiograph of the pelvis. This shows bilateral inferior and superior pubic rami fractures

Links to online textbooks

References:


Google
 
Web Gentili.net

©Gentili.net 1998-2006