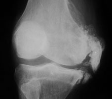
Pelligrini-Stieda Disease

Return to Main Menu

This eponym refers to avulsion of the medial femoral condyle at the origin of the medial collateral ligament. With Pelligrini-Stieda disease, chronic trauma (and tears) to the medial collateral ligament produces ossification.
 - Click on the image for a larger versionAOblique radiograph of the knee. The typical appearance of severe Pelligrini-Stieda disease.

Links to online textbooks

References:


Google
 
Web Gentili.net

©Gentili.net 1998-2006