Jefferson Fracture

Return to Main Menu

A Jefferson fracture consists of a fracture of the C1 ring. This results from an axial loading injury to the head with compression force to C1 (typically from diving). The fracture consists of unilateral or bilateral fractures of the anterior and posterior arches of C1. This is an unstable injury. Other burst type fractures are possible in the spine. These also result from axial loading injuries (compression) and result in severe comminution of a vertebral body. Posterior element displacement into the spinal canal is common.
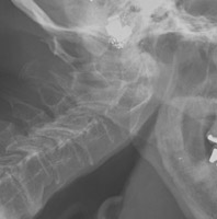
 - Click on the image for a larger versionALateral view of the cervical spine. The patient is severely osteopenic. Nevertheless, there is irregularity of the neural arches at the C1 level.
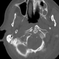
 - Click on the image for a larger versionBAxial CT. This demonstrates the fracture of the anterior arch of C1.
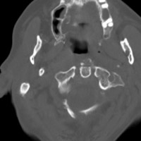
 - Click on the image for a larger versionCAxial CT. The image shows the fracture of the posterior arch of C1.
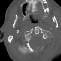
 - Click on the image for a larger versionDAxial CT. This image depicts the severe fracture of the anterior arch of C1.

Links to online textbooks

References:


Google
 
Web Gentili.net

©Gentili.net 1998-2006