Rolando Fracture

Return to Main Menu

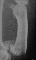
The Rolando fracture is really a fracture-dislocation of the base of the first metacarpal. The fracture is intraarticular and comminuted, distinguishing it from the noncomminuted Bennett fracture. There are usually three main fracture fragments.
 - Click on the image for a larger versionAAP radiograph of the first digit. This demonstrates the comminuted intraarticular fracture at the base of the first metacarpal, a Rolando fracture.

References:


Google
 
Web Gentili.net

©Gentili.net 1998-2006