Metacarpal Fracture

Return to Main Menu

Fractures of the metacarpals are generally due to direct trauma and may be associated with other osseous injuries. The Bennett, Rolando, and boxer's fractures are specific types of metacarpal injuries.
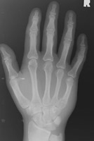
 - Click on the image for a larger versionAPA radiograph of the hand. This demonstrates a comminuted fracture of the base of the fifth metacarpal.
 - Click on the image for a larger versionBPA radiograph of the hand. This details the appearance of an oblique fracture of the third metacarpal.
 - Click on the image for a larger versionCPA radiograph of the hand. This shows fractures of both the third and fourth metacarpals as well as a Colles fracture.
 - Click on the image for a larger versionDPA radiograph of a fracture of the second metacarpal.
 - Click on the image for a larger versionEOblique radiograph of the wrist. This demonstrates a fracture of the proximal aspect of the first metacarpal. It does not involve the articular surface, distinguishing this fracture from the Bennett and Rolando fracture.

Links to online textbooks

References:


Google
 
Web Gentili.net

©Gentili.net 1998-2006