Phalangeal Fracture (Hand)

Return to Main Menu

Phalangeal fractures of the hand are due to direct trauma or twisting injuries. Proximal phalanx fractures are the most serious. These fractures may disrupt or adhese the extensor or flexor mechanisms with loss of mobility of the fingers. Distal phalanx injuries are typically due to crush mechanisms.
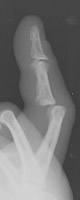
 - Click on the image for a larger versionALateral radiograph of the hand. This demonstrates an angulated fracture of the fourth proximal phalanx.
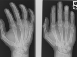
 - Click on the image for a larger versionBPA and oblique radiographs of the hand. The also show the fracture of the fourth proximal phalanx.
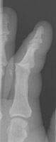
 - Click on the image for a larger versionCOblique radiographs of the fourth PIP joint. This demonstrates apparent overriding of the proximal and middle phalanges.
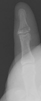
 - Click on the image for a larger versionDLateral radiograph of the fourth PIP. This shows dislocation of this joint.
 - Click on the image for a larger versionEOblique radiograph of the first digit. This shows a fracture of the distal phalanx.
 - Click on the image for a larger versionFPA radiograph of the first digit. This also shows the distal phalanx fracture.

Links to online textbooks

References:


Google
 
Web Gentili.net

©Gentili.net 1998-2006