March Fracture |
The march fracture is a type of stress fracture. It occurs in one of the metatarsals. The name refers to military recruits who developed stress fractures after long marches.
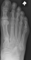
A | AP radiograph of the foot. This shows a region of periosteal new bone at the distal aspect of the second metatarsal. This corresponds to a stress fracture. |