Freiberg's Infarction |
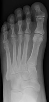
This is a form of avascular necrosis. It is idiopathic (possibly post-traumatic). The process typically affects the second metatarsal head and is unilateral.
A | AP radiograph of the foot. The typical appearance of Freiberg's infarction. |