Charcot Joint

Return to Main Menu

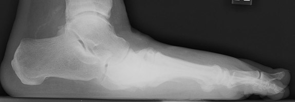
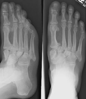
Charcot joint or neuropathic joint typically affects the ankle and tarsal joints due to diabetes. Tabes causes this phenomenon in the knees while syringomyelia leads to Charcot changes at the shoulder. This condition is characterized by the "six D's" of: (1) destruction, (2) density (increased), (3) disorganization, (4) dislocation, (5) distension (fluid), (6) debris. The typical appearance is that of severe hypertrophic changes and sclerosis due to ischemic necrosis.
 - Click on the image for a larger versionAAP and oblique radiographs of the foot. In addition to the acute fracture of the proximal phalanx of digit one, these two images show the typical appearance of Charcot changes at the tarsometatarsal joints.
 - Click on the image for a larger versionBLateral radiograph of the foot. There is marked pes planus deformity along with sclerosis at the tarsometatarsal joints.

Links to online textbooks:

Links to online cases:

References: