Triplane Fracture

Return to Main Menu

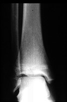
The triplane fracture is also known as the Marmor-Lynn fracture and typically occurs in adolescents. The term actually refers to three fractures of the tibia: a vertical fracture through the epiphysis, a horizontal fracture through the physis, and an oblique fracture through the metaphysis. Twisting injuries produce this type of fracture.
 - Click on the image for a larger versionAAP radiograph of the ankle. The horizontal fracture through the lateral tibial physis is apparent as well as the vertical fracture through the epiphysis.
 - Click on the image for a larger versionBLateral radiograph of the ankle. The metaphyseal fracture line is visible within the tibia.

Links to online textbooks:

Links to online cases:

References: