Trimalleolar Fracture

Return to Main Menu

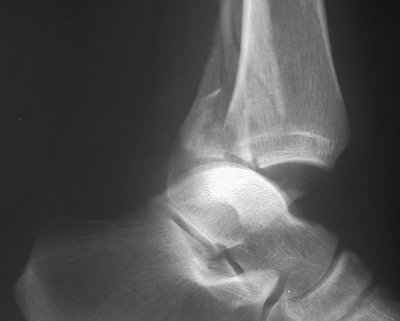
As the name implies, the trimalleolar fracture consists of fractures of the medial, lateral, and posterior malleoli of the tibia. It should be noted that the posterior lip of the tibia is not a true malleolus, but is commonly injured in conjunction with the lateral and medial malleoli. This fracture may be caused by talar eversion and posterior displacement. The fracture is also known as a Henderson fracture.
 - Click on the image for a larger versionAAP radiograph of the ankle. This demonstrates fractures of both the medial and lateral malleoli.
 - Click on the image for a larger versionBLateral radiograph of the ankle. This shows the fracture of the posterior malleolus.

Links to online textbooks:

Links to online cases:

References: