Talus Fracture (Avulsion) | |
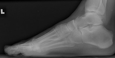
In addition to fractures described by the term aviator's astragalus, other talar injuries are usually the result of ligamentous avulsion by forced dorsiflexion of the foot. The talus may be injured at the head, neck, body, or posterior process. Neck fractures are the most common. The talus is the second most fractured bone of the foot.
A | Lateral radiograph of the foot. This demonstrates a small cortical fragment just superior to the talus due to avulsion injury. |
Links to online textbooks:
Links to online cases:
References: