Metatarsal Fracture

Return to Main Menu

Metatarsal fractures are usually due to direct trauma. Often they are part of the Lisfranc fracture-dislocation spectrum.
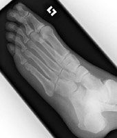
 - Click on the image for a larger versionAAP and oblique radiographs of the foot. These show a minimally comminuted fracture of the distal aspect of the second metatarsal.
 - Click on the image for a larger versionBOblique radiograph of the foot shows a fracture of the distal apsect of the fifth metatarsal.

Links to online textbooks:

Links to online cases:

References: