Cuneiform Fracture

Return to Main Menu

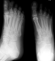
Cuneiform fractrures generally occur in conjunction with other fractures of the midfoot. In particular, the LisFranc dislocation is often associated with cuneiform fractures.
 - Click on the image for a larger versionAAP and oblique radiographs of the foot. A car ran over the foor of this patient. There is a comminuted fracture of the medial cuneiform bone along with fractures of the navicular and first metatarsal.

Links to online textbooks:

Links to online cases:

References: